
Noticias de EuroBuzz: Día 1
Noticias de EuroBuzz: Día 1. Ed y Jeff informan desde la reunión de la Red Europea de la Enfermedad de Huntington en Estocolmo

Precaución: Traducción automática – Posibilidad de errores
Para difundir lo antes posible las noticias sobre la investigación de la EH y las actualizaciones de los ensayos al mayor número de personas posible, este artículo ha sido traducido automáticamente por IA y aún no ha sido revisado por un editor humano. Aunque nos esforzamos por ofrecer información precisa y accesible, las traducciones de la IA pueden contener errores gramaticales, interpretaciones erróneas o frases poco claras.Para obtener la información más fiable, consulta la versión original en inglés o vuelve más tarde para ver la traducción totalmente editada por humanos. Si detectas problemas importantes o si eres hablante nativo de este idioma y te gustaría ayudar a mejorar la precisión de las traducciones, no dudes en ponerte en contacto con nosotros en editors@hdbuzz.net.
Nuestro primer informe diario de la reunión de la Red Europea de la Enfermedad de Huntington en Estocolmo. Síganos en directo durante el segundo día en Twitter o Facebook en HDBuzzFeed. El vídeo de la sesión Euro Buzz en directo del día, con noticias, entrevistas y reportajes, estará disponible en HDBuzz.net en breve.
Viernes, 14 de septiembre de 2012
8:11 – Bienvenido a EuroBuzz 2012, Ed Wild y Jeff Carroll informan en directo desde la reunión de la Red Europea de la Enfermedad de Huntington en Estocolmo.

8:43 – Ed: El atleta paralímpico y teniente de alcalde de Gotemburgo, David Lega, da la bienvenida a la Red Europea de la Enfermedad de Huntington a Estocolmo.
8:48 – Jeff: Hermosas reflexiones para comenzar la reunión de David Lega, atleta, empresario y activista por la discapacidad. Dice: «Siempre seré discapacitado, pero no solo discapacitado».
9:12 – Ed: Michael Hayden (Univ. de Columbia Británica): hasta 1 de cada 1000 personas puede tener un riesgo del 50% o del 25% de padecer la enfermedad de Huntington. El riesgo de portar un gen «intermedio» o de «zona gris» de la enfermedad de Huntington puede ser del 5% en la población general.
9:22 – Jeff: Michael Hayden (UBC) dice que la EH es más común de lo que se pensaba, hasta 15/100.000. Aún más sorprendente, esto significa que 1/1.000 tiene un padre o abuelo con EH.
9:45 – Jeff: Cristina Sampaio, directora clínica de CHDI Foundation Inc., plantea la pregunta: ¿qué tipo de ensayos debemos realizar? Aboga por ensayos más pequeños y flexibles con la esperanza de probar los fármacos más rápidamente. Su organización está realizando una gran labor preparatoria para preparar el terreno para estos nuevos ensayos.
9:50 – Ed: Cristina Sampaio, ex directora de la Agencia Europea de Medicamentos, fomenta un pensamiento realista sobre cómo pueden surgir los tratamientos para la EH. Muchos fármacos y enfoques interesantes están en o cerca de los ensayos en este momento. Los futuros fármacos para la enfermedad de Huntington pueden ser preventivos, modificadores de la enfermedad o sintomáticos, o una combinación de ellos. Los futuros ensayos clínicos de la enfermedad de Huntington deben diseñarse de forma más inteligente, ser más pequeños y más precisos.
10:25 – Ed: Alexandra Durr (París) dice que cuanto antes podamos tratar la EH, mejor. Eso significa que tenemos que detectar los primeros cambios. Los portadores del gen de la enfermedad de Huntington pueden hacer frente a una sorprendente cantidad de contracción cerebral sin tener síntomas.
10:32 – Jeff: El grupo de Alexandra Durr ha estado estudiando a personas portadoras de la mutación de la EH y ha descubierto que aprenden de forma diferente, incluso antes de tener la EH. En el laboratorio, respondieron peor al castigo y mejor al aprendizaje de tipo recompensa. ¡Una razón más para ser amable!
11:23 – Ed: Hugo Aguilaniu (Lyon, Francia) pregunta qué genes que controlan el envejecimiento podrían decirnos sobre la enfermedad de Huntington. Los gusanos con ciertas mutaciones genéticas viven mucho más tiempo de lo normal. ¿Podría esto arrojar luz sobre el aumento de la salud de las células en la EH?
11:55 – Ed: Włodz Krzyzosiak – la molécula de ‘mensaje’ de ARN de algunas enfermedades genéticas es a veces perjudicial, no solo las proteínas. El estudio de las moléculas de mensaje de ARN, así como del ADN y las proteínas, podría ayudar a comprender y tratar enfermedades como la de Huntington.
12:19 – Jeff: Ray Truant, de la Universidad de McMaster, quiere entender qué hace normalmente el gen que causa la EH. Sorprendentemente, esto sigue siendo un poco un misterio.
12:20 – Ed: Ray Truant (Canadá) – La proteína huntingtina causa la EH, pero ¿qué hace? La proteína huntingtina normal hace muchas cosas diferentes en nuestras células. Es una de las proteínas más grandes que tenemos. La proteína huntingtina tiene muchas partes que son como un ‘slinky’ o un muelle. ¿Podría ser importante la compresión o el estiramiento de la huntingtina? La huntingtina también se mueve de una parte de la célula a otra. Las ‘etiquetas’ o ‘rótulos’ químicos controlan su movimiento. La proteína mutante termina con demasiadas etiquetas ‘fosfo’. Eso puede hacer que se acumule en el núcleo de nuestras células. Una de las cosas en las que participa la proteína huntingtina es en la respuesta al estrés físico y químico. Cosas fascinantes.
12:36 – Ed: Realmente necesitamos entender la proteína huntingtina normal y mutante si vamos a vencer a la EH. El trabajo de Truant es realmente importante
12:38 – Jeff y Ed están entrevistando a Truant y a otros científicos de primer nivel de Huntington en el escenario a las 18:00 CET. El vídeo estará en línea más tarde en HDBuzz.net
12:39 – Ed: Truant nos dice que la proteína huntingtina se repliega sobre sí misma para formar una horquilla. La ‘CAG’ expandida que causa la enfermedad de Huntington altera esto. Las moléculas de los fármacos pueden cambiar la cantidad de etiquetas fosfo que se añaden a la proteína huntingtina, alterando su plegamiento y movimiento en las células. Truant llama a su idea la hipótesis de la ‘bisagra oxidada’: la mutación de la EH reduce la flexibilidad, impidiendo que la huntingtina ayude a la célula a responder al estrés. Truant plantea una pregunta interesante: ¿está la proteína huntingtina implicada en otras enfermedades neurodegenerativas como el Alzheimer, el Parkinson y la ELA?

12:50 – Ed: Hora de comer aquí en Estocolmo. Más actualizaciones más tarde. Gran audiencia de científicos y clínicos
14:00 – Ed: ¡Hemos vuelto! Juliana Bronzova está discutiendo la estrategia científica de la Red Euro-HD para la lucha contra la enfermedad de Huntington. La EHDN coordina y apoya todos los aspectos de la investigación de la enfermedad de Huntington, incluido el apoyo a los ensayos clínicos
14:17 – Ed: Oliver Quarrell (Sheffield, Reino Unido) ofrece una actualización sobre el Grupo de Trabajo sobre la enfermedad de Huntington juvenil: aproximadamente uno de cada 20 pacientes con EH presenta síntomas antes de los 20 años; se trata de la EH juvenil y no se ha estudiado con suficiente atención
14:19 – Ed: Una nueva rama del estudio del Registro de la EHDN está inscribiendo a pacientes con EH juvenil en Europa. ¡40 personas con EHJ inscritas hasta ahora!
14:20 – Ed: Quarrell dice que los casos de EH juvenil comienzan antes, pero ¿progresan más rápidamente? ¿Y podría esto utilizarse para probar los fármacos más rápidamente? Por el momento no sabemos si la EH juvenil progresa más rápidamente, pero se está estudiando mediante escáneres cerebrales. La EH juvenil suele tener grandes ‘longitudes de repetición de CAG’. Los escáneres de resonancia magnética preliminares muestran que las repeticiones más grandes causan una contracción cerebral más rápida. La forma tradicional de evaluar la EH no es muy buena para los pacientes jóvenes con EHJ. El grupo #EHDN JHD está probando nuevas escalas y cuestionarios.
14:27 – Ed: Katia Youssov ofrece una actualización sobre el grupo de trabajo de la ‘enfermedad de Huntington en fase avanzada’ de la EHDN. El objetivo principal del grupo de EH avanzada es promover una mejor atención. Se está trabajando en un folleto de orientación. Al igual que la EH juvenil, los pacientes con síntomas avanzados se ven perjudicados por las formas existentes de medir los síntomas de la enfermedad, lo que dificulta los ensayos. El grupo de EH avanzada de la EHDN ha desarrollado una nueva escala de valoración, la UHDRS-FAP, para apoyar los ensayos clínicos en fases más avanzadas de la enfermedad
14:39 – Ed: Simon Brooks (Cardiff, Reino Unido) estudia el efecto de los programas de ejercicio en ratones con EH, imitando la fisioterapia en humanos. ¡Un ratón con EH puede correr 5 km en una noche! Algunos tipos de ejercicio en ratones son más beneficiosos que otros. Cuando los ratones corren mucho en una rueda, se vuelven más rápidos y activos. Los efectos más llamativos del ejercicio en ratones con EH son en la velocidad de pensamiento. Los ratones que hacen ejercicio también tienen menos contracción cerebral.
14:51 – Ed: Monica Busse (Cardiff, Reino Unido) dirige el grupo de fisioterapia de la EHDN que estudia los mejores métodos de fisioterapia para la enfermedad de Huntington. El grupo de fisioterapia de la EHDN está desarrollando un DVD de ejercicios en casa basado en la evidencia llamado «Muévete para hacer ejercicio» para las personas con la enfermedad de Huntington. El grupo de fisioterapia de la EHDN está llevando a cabo varios otros estudios de ejercicio basados en la comunidad y en el gimnasio para encontrar la mejor manera de mantenerse activo en la EH.
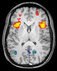
15:14 – Ed: Mike Orth (Ulm, Alemania) estudia la actividad cerebral en personas con la mutación de la enfermedad de Huntington. Los cerebros de los portadores de la mutación de la EH muestran diferentes cantidades de actividad en reposo, e, curiosamente, un aumento de las conexiones entre las áreas. Mike Orth es uno de los científicos a los que entrevistaremos más tarde: los vídeos estarán disponibles poco después.
15:20 – Jeff: Michael Orth, neurólogo de la Universidad de Ulm, estudia los cambios en la «red neuronal por defecto» del cerebro. Estas son las partes del cerebro que están activas cuando estamos «en reposo» o «soñando despiertos» y no pensando en algo específico. Cuando nos centramos en algo específico, estas regiones del cerebro suelen calmarse. En los cerebros de los portadores de la mutación de la EH, esta calma es incompleta, por razones que aún no están claras. Científicos como Michael Orth utilizan una técnica llamada «resonancia magnética funcional», o RMf, para estudiar qué partes del cerebro están activas en un momento dado.
15:27 – Ed: Nellie Georgiou-Karistianis (Australia) también está hablando de la actividad cerebral. La Dra. G-K utiliza pruebas de pensamiento en un escáner de resonancia magnética funcional para desafiar y sondear la función cerebral en los portadores de la mutación de la enfermedad de Huntington. Está utilizando la RMf repetidamente a lo largo del tiempo, podemos ver qué cambios se producen en la EH y qué podemos medir, y tratar de salvar con los tratamientos.
15:35 – Ed: Ellen ‘t Hart (Leiden, Países Bajos) ha estado estudiando a pacientes con diferentes patrones de síntomas motores en la EH. Algunas personas con EH tienen mucha corea (movimientos extra); otras tienen más rigidez. ¿Los cambios de pensamiento siguen a los problemas de movimiento? Utilizó los datos del estudio del registro de la EHDN para identificar a los pacientes ‘inquietos’ y ‘rígidos’ y analizó las capacidades de pensamiento en los dos grupos. Los pacientes ‘inquietos’ tendían a tener mejores capacidades de pensamiento y funcionales que los pacientes para los que la rigidez era el principal problema.
17:09 – Jeff: Patrik Brundin, del Instituto Van Andel, está proporcionando a la reunión una revisión de los esfuerzos para utilizar ‘células madre’ para reparar los daños en el cerebro de modelos animales y pacientes con EH.
17:12 – Ed: Patrick Brundin (Instituto Van Andel): Se sigue trabajando en los ensayos de injertos de células fetales, junto con los tratamientos con células madre.
Saber más
- Programa de la EHDN 2012 en el sitio web de la EHDN
- Sitio web de David Lega, teniente de alcalde de Gotemburgo y atleta paralímpico, que inauguró la conferencia
- El laboratorio de Michael Hayden
- El laboratorio de Ray Truant
- How Science Works explica la RMf
- Plan estratégico científico de la EHDN (PDF)
- HDBuzz en Twitter (@HDBuzzFeed)


